Hacemos uso de cookies. Al utilizar nuestros servicios, consideramos que acepta su uso. Más información.

Evolución y diagnóstico final

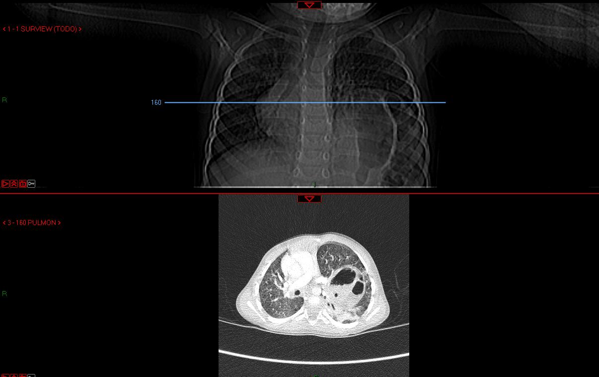
El especialista, tras escuchar los comentarios acerca de la situación clínica y el motivo de ingreso, le indica la necesidad de realizar una tomografía computerizada.

Pantalla 11 de 16
< >

No hay comentarios
Esta actividad no admite más comentarios
Compartir