Hacemos uso de cookies. Al utilizar nuestros servicios, consideramos que acepta su uso. Más información.
Esta actividad ya está finalizada.

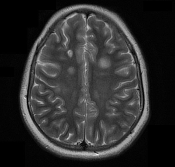
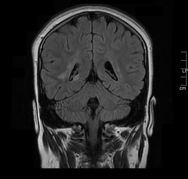
Evolución (2)

Cinco meses después del inicio de la clínica se solicita de manera ambulatoria una nueva resonancia craneomedular.

En comparación con el estudio previo, han aparecido nuevas lesiones a nivel infratentorial, tanto en el bulbo como en la protuberancia y el mesencéfalo.

La disposición de las lesiones es muy sugestiva de enfermedad desmielinizante y se cumplen criterios de diseminación en espacio y tiempo de esclerosis múltiple con signos de actividad y progresión.

Pantalla 14 de 18
< >

No hay comentarios
Esta actividad no admite más comentarios