Hacemos uso de cookies. Al utilizar nuestros servicios, consideramos que acepta su uso. Más información.
Esta actividad ya está finalizada.

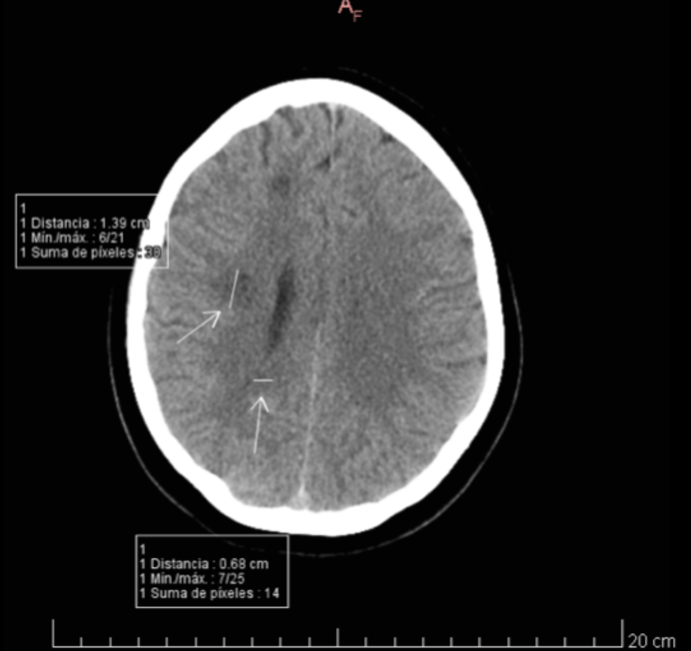
Pruebas complementarias (2)

Se realiza un TC cerebral urgente en la que se observan dos lesiones hipodensas de márgenes mal definidos en el hemisferio cerebral derecho. Una de ellas, la de mayor tamaño, se localiza a nivel subcortical y la otra lesión se encuentra en el esplenio del cuerpo calloso.

Pantalla 9 de 18
< >

No hay comentarios
Esta actividad no admite más comentarios