Hacemos uso de cookies. Al utilizar nuestros servicios, consideramos que acepta su uso. Más información.
Esta actividad ya está finalizada.

Nueva actitud (2)

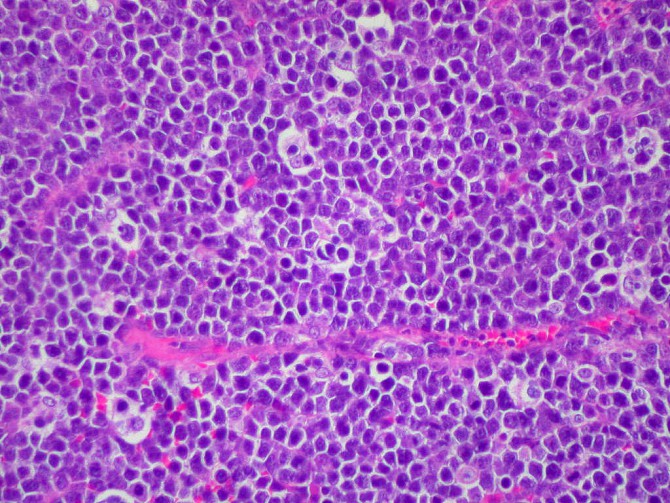
Los resultados aportados por las pruebas de imagen son sugerentes de un proceso linfoproliferativo. Para confirmar este diagnóstico, se realiza una biopsia por incisión del ganglio linfático submandibular.

El estudio inmunohistoquímico mostró positividad para CD10, CD20 y CMYC y negatividad para CD3.

Pantalla 12 de 22
< >

No hay comentarios
Esta actividad no admite más comentarios