Hacemos uso de cookies. Al utilizar nuestros servicios, consideramos que acepta su uso. Más información.

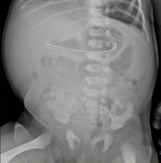
¿Cómo interpreta la radiografía abdomen?:

 
 
 
 

Para pasar a la siguiente pantalla es necesario contestar correctamente a esta pregunta.

Pantalla 5 de 15
< >

No hay comentarios
Esta actividad no admite más comentarios
Compartir