Hacemos uso de cookies. Al utilizar nuestros servicios, consideramos que acepta su uso. Más información.

Resto de pruebas complementarias

Analítica primer día ingreso:

  • Hb 8,5 g/dl, Hto. 30,2%, VCM 57,6 fL, HCM 16,2 pg, RDW 18,3, Reticulocitos 2,09% Leucocitos 6820/µl (N 1730/µl, L 4540/µl, M 390/µl, eosinófilos 130/µl). Plaquetas 268 000/µl. VSG 6 mm.
  • Índice de producción reticulocitaria 0,83.
  • Perfil férrico: ferritina 107,5 ng/ml, transferrina 518 mg/dl, IST 3,47, RST 3,84 ng/ml.
  • Parámetros nutricionales: folatos 5,17, vitamina B12: 10 008 pg/ml.
  • Perfil tiroideo: TSHG 1,04 mcUI/ml, T4-Libre 1,29 ng/dl. Normal.
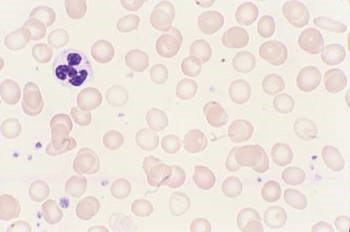
  • Frotis de sangre periférica: no se observan blastos.
  • Ecografía abdominal
  • Microbiología
Pantalla 14 de 21
< >

No hay comentarios
Esta actividad no admite más comentarios