Hacemos uso de cookies. Al utilizar nuestros servicios, consideramos que acepta su uso. Más información.

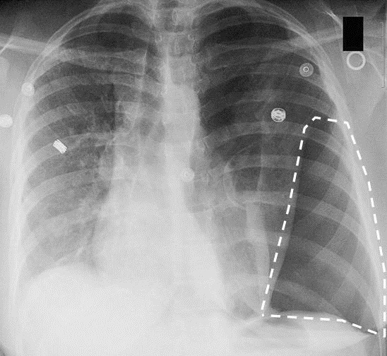
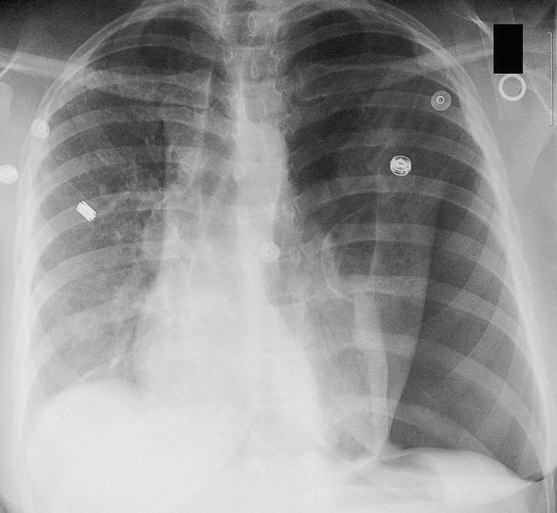
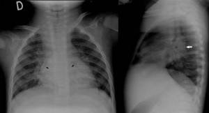
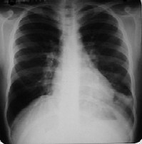
Después de la sorpresa inicial, se detiene a mirar la radiografía. ¿Qué puede ver en ella?

 
 
 
 

Para pasar a la siguiente pantalla es necesario contestar correctamente a esta pregunta.

Pantalla 7 de 14
< >

No hay comentarios
Esta actividad no admite más comentarios
Compartir