Hacemos uso de cookies. Al utilizar nuestros servicios, consideramos que acepta su uso. Más información.

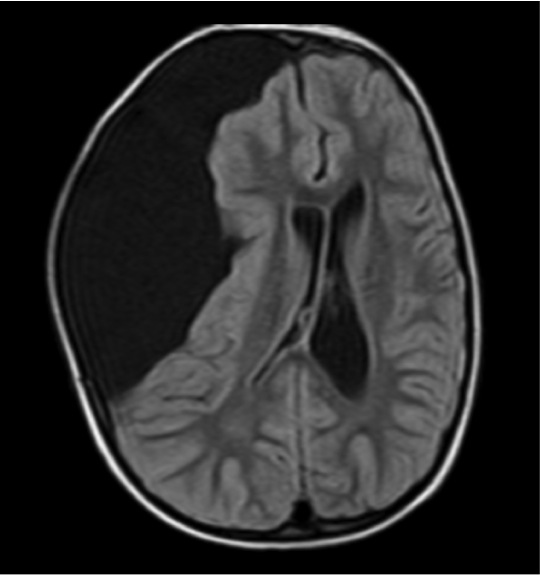
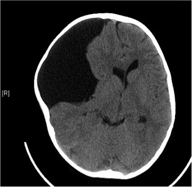
¿Qué primera prueba complementaria solicitaría?

 
 
 
 

Para pasar a la siguiente pantalla es necesario contestar correctamente a esta pregunta.

Pantalla 6 de 16
< >

No hay comentarios
Esta actividad no admite más comentarios
Compartir