Hacemos uso de cookies. Al utilizar nuestros servicios, consideramos que acepta su uso. Más información.

De nuevo en Urgencias, diagnóstico diferencial

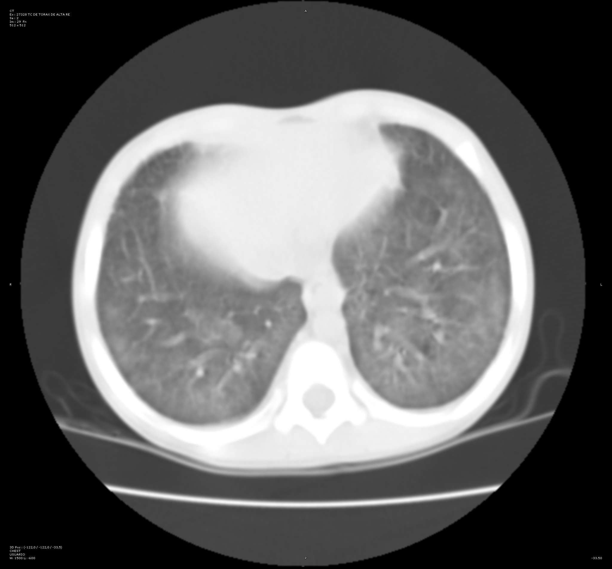
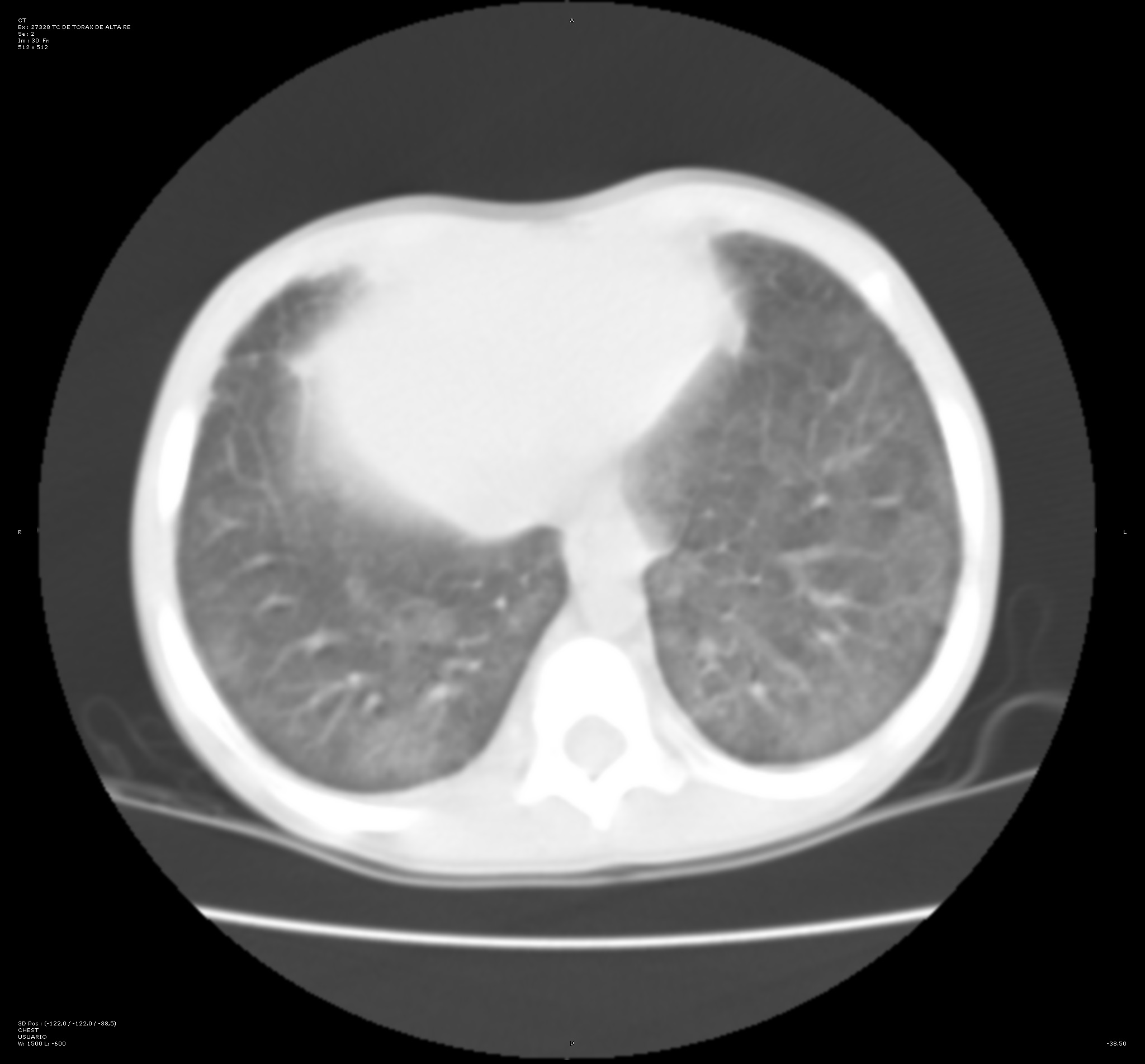
Con intención de no realizar en primer lugar una prueba invasiva que pudiera inestabilizar al paciente, se decide llevar a cabo una tomografía computarizada (TC) de tórax. En esta prueba se visualizan opacidades bilaterales parcheadas y simétricas en vidrio deslustrado de predominio en campos posteriores y basales. Este hallazgo incrementa la sospecha de hemorragia alveolar difusa.

Así, se lleva a cabo la fibrobroncoscopia con lavado broncoalveolar donde se confirma el sangrado alveolar. En la anatomía patológica del suero resultante se objetiva un 20% de siderófagos sobre el total de elementos formes.

Causas de hemorragia alveolar difusa en la infancia

¿Desea saber más sobre la hemorragia alveolar difusa?

Pantalla 10 de 15
< >

No hay comentarios
Esta actividad no admite más comentarios
Compartir