Hacemos uso de cookies. Al utilizar nuestros servicios, consideramos que acepta su uso. Más información.

Evolución

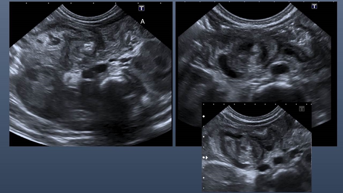
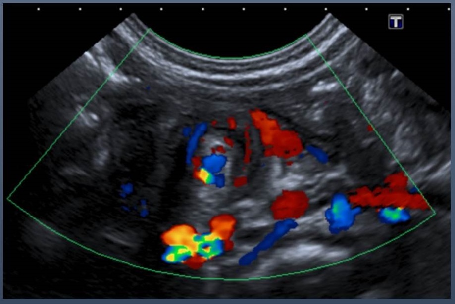
Teniendo en cuenta los hallazgos inespecíficos de la radiografía de abdomen y ante el empeoramiento clínico de la paciente, con incremento de los vómitos biliosos e ictericia de predominio indirecto, se solicita ecografía abdominal. Con la imagen ecográfica. ¿Cuál es su sospecha diagnóstica?

Se visualizan las siguientes tres imágenes ecográficas.

Pantalla 6 de 15
< >

No hay comentarios
Esta actividad no admite más comentarios
Compartir