Hacemos uso de cookies. Al utilizar nuestros servicios, consideramos que acepta su uso. Más información.

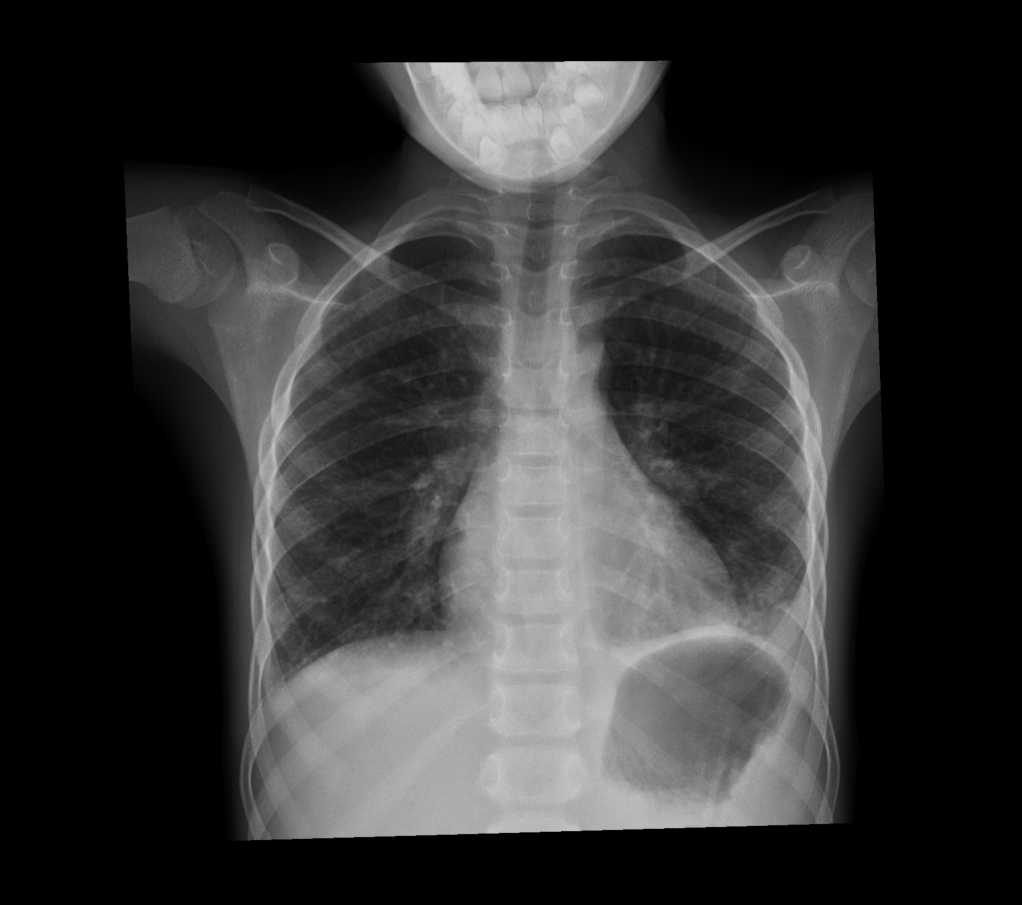
El paciente ha regresado de rayos ¿Qué puede ver en la radiografía?

 
 
 
 

Para pasar a la siguiente pantalla es necesario contestar correctamente a esta pregunta.

Pantalla 4 de 14
< >

No hay comentarios
Esta actividad no admite más comentarios
Compartir