Hacemos uso de cookies. Al utilizar nuestros servicios, consideramos que acepta su uso. Más información.
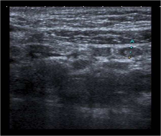
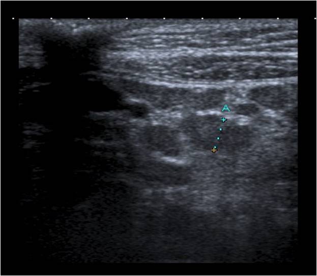
Continúan observándose múltiples adenopatías en el meso.

Evolución (3)

Las pruebas complementarias realizadas apuntan hacia un proceso inflamatorio de tipo infeccioso, aunque no se puede descartar etiología neoplásica.

Ampliación de los estudios complementarios:

  • Interconsulta con Cirugía Infantil: laparoscopia con biopsia de adenopatías mesentéricas:
    • Cultivo de bacterias: negativo.
    • Micobacterias en biopsia: PCR negativa, cultivo negativo.
    • AP: hiperplasia linfoide reactiva inespecífica, sin evidencia de linfoma.
  • Interconsulta con Infectología Infantil: chequeo TBC (Mantoux, Quantiferon y TB spot): negativos. Serología de Bartonella, Borrelia, Brucella, virus de Epstein-Barr (VEB), citomegalovirus (CMV), toxoplasma, leishmania y yersinia: negativo.

Se repite la ecografía abdominal: múltiples adenopatías de aspecto inespecífico en el área mesentérica con una discreta cantidad de líquido libre en fosa ilíaca derecha (FID).

Impresión diagnóstica: adenopatías mesentéricas reactivas.

Pantalla 10 de 19
< >

No hay comentarios
Esta actividad no admite más comentarios
Compartir