Hacemos uso de cookies. Al utilizar nuestros servicios, consideramos que acepta su uso. Más información.

Diagnóstico diferencial en Urgencias

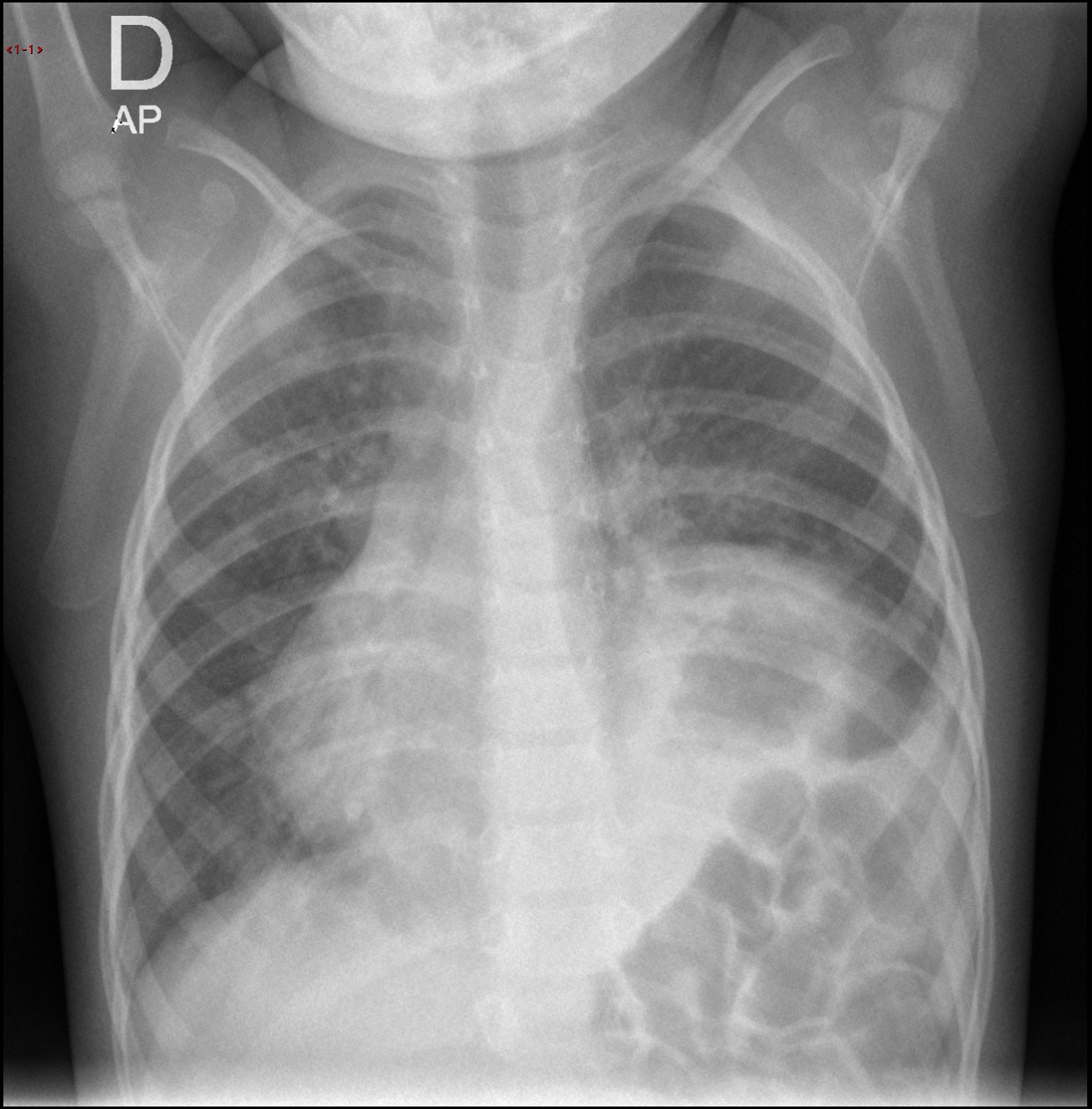
Usted ha decidido realizar una radiografía de tórax.

Ya con la paciente de nuevo en Urgencias, consulta la imagen en el ordenador…

El radiólogo le dice que está informando una tomografía computarizada y le resulta imposible informar su radiografía. ¿Qué puede ver en la imagen?

 
 
 
 

Para pasar a la siguiente pantalla es necesario contestar correctamente a esta pregunta.

Pantalla 4 de 16
< >

No hay comentarios
Esta actividad no admite más comentarios
Compartir